a
アマナとひらく「自然・科学」のトビラ
Series

連載

120年で培った技術が再生医療の道を拓く

120年で培った技術が、
再生医療の道を拓く

シリーズ・企業探訪⑲
ロート製薬

インタビュー・文/及川 智恵
写真/小山 和淳(amana)

目薬やスキンケア製品などで知られるロート製薬。同社が再生医療に取り組んでいることをご存知でしょうか。2020年8月には、新型コロナウイルス感染症(COVID-19)による重症肺炎を対象とした治験も開始しています。ロート製薬 再生医療研究企画部の本間陽一さんに伺いました。

培地を作る技術を活かす

まずは、ロート製薬が取り組んでいる再生医療がどのようなものなのか、教えていただけますか?

再生医療とは、組織や細胞を移植・注入することで、病気を治す治療法です。大きく分けると、人工的に再生させた肝臓や心臓などを機能不全になった臓器と置き換える方法と、再生機能をもつ細胞を体内に注入することで傷ついた組織を修復する方法があります。

本間 陽一(ほんま・よういち)/ロート製薬株式会社再生医療研究企画部部長。1992年入社。眼科から皮膚科まで、幅広い領域の研究に従事する。1995年には京都府立医科大学眼科学教室に出向し、臨床現場の声を聞きながら研究に取り組んだ。2020年7月より現職

本間 陽一(ほんま・よういち)/ロート製薬株式会社再生医療研究企画部部長。1992年入社。眼科から皮膚科まで、幅広い領域の研究に従事する。1995年には京都府立医科大学眼科学教室に出向し、臨床現場の声を聞きながら研究に取り組んだ。2020年7月より現職

ロート製薬では、脂肪由来の間葉系幹細胞*1 を使った再生医療に注力しています。健康なドナーの方から脂肪組織をご提供いただき、その脂肪組織の中にある幹細胞を取り出します。これを独自の培養技術で大量に増やして、凍結保存し、必要なときに解凍して患者さんの身体に注入するのです。

増やした細胞は、ドナーの方の身体に戻す(自家移植*2)わけではなく、病気を抱えた別の患者さんに注入することになります(他家移植*3)が、間葉系幹細胞は、他人の身体に入れても拒絶反応を起こしにくいというメリットがあります。幹細胞を大量に培養して他家移植することができれば、多くの患者さんに対して、必要なタイミングで治療を提供できるようになります。

*1 間葉(かんよう)系幹細胞

骨芽(こつが)細胞、脂肪細胞、筋細胞、軟骨細胞など、間葉系に属する細胞への分化能力を持つとされる細胞。

*2 自家(じか)移植

投与される人自身の組織を移植すること。

*3 他家(たか)移植

投与される人ではない、他の人の組織由来の組織を移植すること。


 

間葉系幹細胞にも、骨髄由来のものなどさまざまな種類がありますが、なぜ脂肪由来の間葉系幹細胞を選んだのですか?

脂肪由来の間葉系幹細胞は、他の幹細胞と比較して、組織の修復に役立つ因子を多く生み出す傾向にあると報告されています。また、骨髄から幹細胞を採取するためには全身麻酔が必要となり、ドナーの方の負担が大きいですが、脂肪由来の幹細胞であれば、脂肪吸引によって組織を得られるため、負担が比較的少なくて済みます。

そして何より大きかったのは、私たちが脂肪由来の間葉系幹細胞に適した培地を作る技術を持っていたことですね。培養される幹細胞の特徴は、培地や培養液の組成にも影響を受けることです。

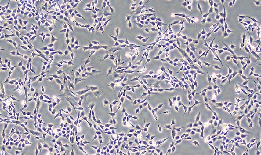
脂肪由来幹細胞(画像提供:ロート製薬株式会社)

脂肪由来幹細胞(画像提供:ロート製薬株式会社)


細胞培養装置も自社で開発

「ロート」ブランドといえば、ドラッグストアで売っている目薬やスキンケア製品を真っ先にイメージする人も多いのではないかと思います。そんな企業が、なぜ再生医療に取り組み始めたのでしょうか?

再生医療について調べていくうちに、私たちが培ってきた技術を再生医療に活かせるかもしれない、と考えるようになったからです。具体的には、「細胞を扱う技術」と「無菌製剤を作る技術」の2つでした。

実は、社内で10年以上前から、幹細胞について研究を進めていました。スキンケアを研究する過程で、体内の細胞に働きかけて肌を再活性化させるしくみを考えてきたのですが、その流れで幹細胞にも注目していたのです。ですから、これらの細胞には長年なじみがありましたし、扱いにも慣れていました。

©︎ Andrew Brookes/Cultura/Image Source RF /amanaimages

©︎ Andrew Brookes/Cultura/Image Source RF /amanaimages

また、ロート製薬は110年以上にわたって目薬の開発を続けています。目薬は無菌状態で製造しなければなりません。三重県伊賀市にある拠点工場では、目薬をほぼ無人で無菌的に製造しています。細胞を使った薬も同じように無菌で作る必要があるため、このノウハウを再生医療に活かせるのではないかと考えたのです。

これまで製造販売されてきた薬は、ドラッグストアで購入できる一般用医薬品でしたが、再生医療事業で開発を進めているのは「医療用医薬品」です。大きなチャレンジだったのではないでしょうか。

もちろん、「自分たちにできるのだろうか」という不安はありました。しかし、ロート製薬はOTC*4 の会社だと決めているわけではありません。「美」と「健康」に関わる分野で社会に貢献する会社です。この分野で困っている人のためにできることがあるなら挑戦したい、という想いがあるのです。

再生医療の部門を立ち上げたのは2013年ですが、社内で再生医療について検討するプロジェクトが動き出したのはその2年前でした。翌年の2012年に、京都大学の山中伸弥先生がiPS細胞(人工多能性幹細胞))の研究でノーベル生理学・医学賞を受賞されて、「再生医療」というキーワードに注目が集まりました。

さらにその後の2014年には、再生医療に関わる法律*5 も整備され、こうした動きも追い風になったように思います。

*4 OTC

Over the Counterの略。カウンター越しに販売される形態に由来する、医師の処方箋がなくても薬局などで購入できる薬品のこと。

*5 再生医療に関わる法律

薬事法が改正されて「医薬品、医療機器等の品質、有効性及び安全性の確保等に関する法律」(薬機法)と改称され、再生医療等製品に関する内容が盛り込まれた。また、再生医療等の安全性の確保等に関する法律(再生医療新法)が施行された。

 


細胞の自動培養装置も自社開発されていますね。

再生医療によって多くの患者さんを救うためには、「いかに安く、大量に、質の高い細胞を増やせるか」がポイントです。

細胞を培養する作業自体は人間にもできますが、人間は24時間働くことはできませんし、人によって、あるいは同じ人でも日によって、どうしても作業の質にばらつきが生じてしまうものです。そうすると細胞の質もばらついてしまう。機械であれば、同じ品質の細胞を24時間生産し続けてくれますし、コストも抑えることができます。

ロート製薬の自動培養装置(画像提供:ロート製薬株式会社)

ロート製薬の自動培養装置(画像提供:ロート製薬株式会社)

機械専門メーカーさんでも製造されている細胞培養装置を、あえて自社で開発したのは、長らく細胞を扱ってきて、細胞培養の技術に長けた研究者がいるからです。細胞培養が特に上手な社員の動きをビデオ撮影して、その動きを機械でできるだけ忠実に再現しました。職人技のような動きを機械に覚えさせることができたら、これ以上強いものはありません。

開発した自動細胞培養装置では、大量の細胞を培養することができます。この装置が開発された2017年当時、ロート製薬の自動細胞培養装置は、培養から凍結保存までを通して行える国内で初めての装置でした。


COVID-19の重症肺炎患者で治験

新型コロナウイルスによる重症肺炎に対する治験を2020年8月に開始されたと伺いました。なぜ、COVID-19の治療に取り組むことになったのか、経緯をお聞かせいただけますか?

COVID-19の治療なんて、当初はまったく考えていませんでした。しかし、「間葉系幹細胞が効果的ではないか」という報告が主に海外から出てくるようになり、外部の医療機関の先生から「ロート製薬の間葉系幹細胞が有効かもしれない」と伺ったのです。

医療機関からの声がきっかけだったのですね。

肺炎は、肺の中で炎症が起こる病気です。ウイルスに感染して炎症が起こると、ウイルスから体を守るために、肺組織の細胞からサイトカインという物質が放出されます。サイトカインは本来なら体の防御や恒常性の維持を担うはずなのですが、炎症が強くなると大量のサイトカインが出てしまい、免疫細胞が過剰に活性化して今度は自分の体を傷つけるようになってしまいます。これが「サイトカインストーム」と呼ばれる免疫機能が暴走した状態です。

私たちが使っている間葉系幹細胞は、研究の中で「炎症を抑える効果が強い」ということがわかっていました。それなら、この細胞を注入することでサイトカインストームを抑えることができるのではないか。こうした考えから始まったのが今回の治験です。

新型コロナウイルスが流行し始めてからわずか半年ほどで治験が始まっています。この短期間で治験を準備するのは大変だったのではないでしょうか?

はい、現場は本当に大変でしたね。そもそも、新型コロナウイルスは新しいウイルスですから、専門家がいません。医療機関の先生方にも実態が分かりませんから、完全に手探りでした。

ただ、ロート製薬の間葉系幹細胞は、2017年からの肝硬変に対する治験でヒトに投与した実績があり、安全性が確認されていました。ただし、肝硬変の患者さんにとって安全であっても、COVID-19の患者さんにも安全かどうかはわかりませんので、今回の治験で改めて安全性を確かめる必要はあります。しかし、肝硬変での安全性データがあったからこそ、これだけ短期間で治験を始めることができたのです。

今回の治験では、新型コロナウイルスによる重症肺炎の患者さん6例に脂肪由来の間葉系幹細胞を投与して、安全性を確認する予定です。これから少しでもCOVID-19の治療へお役に立てることを願っています。


Well-being に「美」と「健康」で 貢献

今後の展望について、医療用医薬品開発の見通しはいかがでしょうか?

肝硬変に関しては現在も治験を実施中で、有効性を確認しているところです。私たちが治験の対象としている非代償性肝硬変*6 にはまだ治療薬がありませんので、数年以内に世に出すことを目標としています。

このほか、心不全に対する医師主導治験も大阪大学で実施されています。また、肺、脳、腎臓などの病気にも効果を発揮する可能性があり、研究を進めています。

再生医療はまだ高額です。再生医療を実用化するためには、技術開発や安全性だけでなく、コストに対する取り組みも必要だと考えています。

*6 非代償性肝硬変

進行した肝硬変で、肝機能が低下し、腹部に水がたまる腹水や黄疸、脳症などの症状が現れている状態。

 

OTCやスキンケアなど、従来ロート製薬が取り組んできた領域にも、再生医療の技術は活かされていくのでしょうか?

もともとスキンケアや目薬の開発で培ってきた技術を再生医療で活かしているわけですが、再生医療への挑戦を始めたことによって、新たな視点が得られています。

例えば、脂肪由来の間葉系幹細胞は、私たちの皮膚のすぐ下にある「皮下脂肪」の中にも存在しています。こうした場所にもともとある幹細胞をスキンケアによってうまく活性化することができれば、わざわざ細胞を投与しなくても、肌の美しさを取り戻せるかもしれません。このような観点で細胞に働きかける成分を見つけて、スキンケア製品の開発に応用しようとしています。

ロート製薬のスキンケア製品は、美容雑誌や口コミサイトでも高い評価を受けている

ロート製薬のスキンケア製品は、美容雑誌や口コミサイトでも高い評価を受けている

面白い発想ですね。お話を伺っていると、「美」と「健康」がとても近い領域だという印象を受けます。

その通りですね。私自身は、「美」の領域に対して、「健康」の技術でアプローチしているつもりです。つまり、「細胞について深く研究したことを、美容にも活かそう」と同時に考える発想ですので、結果的に両者が近く感じられるのだろうと思います。

再生医療で培った技術を、今後も別の製品にどんどん応用していければいいですよね。すでにスキンケアの分野にとどまらず、幹細胞に着目した口腔ケア用の製品なども開発しています。


今回の特集テーマは「新しく日常を支える力」です。最後に、本間さんが思い描く理想の未来像をお聞かせいただけますか?

やはり、病気にかかる前に予防できる未来の到来でしょうか。だからこそ、セルフメディケーション*7 の分野で、日常的に「美」と「健康」をサポートしたいのです。

*7 セルフメディケーション

自分自身の健康に責任を持ち、軽度な身体の不調は自分で手当てすること。

 
一方、いくら予防を心がけていても病気にかかってしまうことはありますから、治す技術も大切です。再生医療のように、治療法がなくて困っている患者さんに対して治療法を提供することには大きな意味があると思っています。

私自身は長年、眼の研究を行ってきました。医学部の眼科に出向して眼の研究をしていた時期もありましたので、眼の病気で困っている人の顔は思い浮かびやすい。ですから、今取り組んでいる再生医療を眼の領域に活かす方法があるかどうか、いつか研究してみたいですね。

ロート製薬では、創業120年を迎えた2019年2月に、「Connect for Well-being」という2030年に向けた経営ビジョンを掲げました。「Well-being」とは、心身ともに健康で、毎日いきいきと生活できる状態のこと。ただ病気がないというだけでなく、いきいきと充実した毎日を送れる社会づくりに対して何ができるのか、これからも考え続けます。

Profile
Writer
及川 智恵 Chie Oikawa

ライター、編集者、翻訳者。医療系を中心に、幅広い分野のコミュニケーションに携わっている。「『美』と『健康』という確固たる軸を持ちながら、新たな挑戦を続けていくロート製薬。しなやかな強さを持った魅力的な企業だと感じました。スキンケアや目薬の技術を活かす形で始まった再生医療への取り組みが、多くの患者さんを救うだけでなく、ロート製薬のさまざまな製品をさらに発展させることになりそうで、その相互作用にもワクワクします」

Photographer
小山 和淳 Kazuaki Koyama

amanaグループacube所属のフォトグラファー。動画制作や写真作品制作を行う。「今後についてをお話される本間さんの目が綺麗で驚きました」
https://acube.jp/photographers/kazuaki-koyama/

Editor
大江 智子 Satoko Oe

NATURE & SCIENCE 編集部。「健康で美しくありたいという人類普遍の願いに、卓越した技術で応え続けてきたロート製薬。その技術が、再生医療という新たなフィールドで花開きつつあると伺い、Withコロナ時代を生きる者の一人として新たな希望を授かった思いでした」

`
Page top